Mâchoire Décalée Sur Le Côté . Traitements combinés orthodontie et chirurgie de la mâchoire YouTube Ce traitement se fait généralement avec l'aide d'appareils dentaires ou d'orthèses fonctionnelles. Il existe différentes formes de décalage de la mâchoire, notamment le prognathisme (mâchoire inférieure en avant), le rétrognathisme (mâchoire inférieure en arrière.
béance chirurgie de rotation avant et après from www.orthodontie-paris15.fr
Cette condition peut causer des problèmes esthétiques, fonctionnels et psychologiques. L'orthodontie est une spécialité dentaire qui se concentre sur le redressement des dents et l'alignement des.
béance chirurgie de rotation avant et après Par exemple, si la mâchoire inférieure se développe plus lentement que la mâchoire supérieure, cela peut conduire à une mâchoire décalée latéralement Ce traitement se fait généralement avec l'aide d'appareils dentaires ou d'orthèses fonctionnelles. Le traitement d'une mâchoire décalée peut avoir un impact positif sur la santé bucco-dentaire
Source: tekkilbxd.pages.dev avancement maxillaire recentrage avant après photo intrabuccale , Amélioration de l'occlusion et de l'alignement dentaire : un alignement dentaire correct facilite le brossage et l'utilisation de la soie dentaire, réduisant ainsi le risque de caries et de maladies. Ce type de malocclusion peut entraîner des difficultés à mâcher, des douleurs au niveau de la mâchoire, des problèmes d'articulation temporo-mandibulaire.
Source: denizedcxdn.pages.dev Expérience de Traitement Orthodontique et Chirurgie Maxillo Faciale Les traitements , Par exemple, si la mâchoire inférieure se développe plus lentement que la mâchoire supérieure, cela peut conduire à une mâchoire décalée latéralement Cela peut affecter la confiance en soi et l'estime de soi
Source: sendiwsafuw.pages.dev Anatomie de la dent dentaire des Savoies à Chambéry , Cela peut affecter la confiance en soi et l'estime de soi L'orthodontie est une spécialité dentaire qui se concentre sur le redressement des dents et l'alignement des.
Source: coopanyaol.pages.dev béance chirurgie de rotation avant et après , Une mâchoire décalée sur le côté peut donner un sourire asymétrique et rendre difficile le sourire naturellement Par exemple, si la mâchoire inférieure se développe plus lentement que la mâchoire supérieure, cela peut conduire à une mâchoire décalée latéralement
Source: enacensetak.pages.dev patiente avant après chirurgie avancement mâchoire , Elle peut avoir des conséquences esthétiques et fonctionnelles, affectant l'apparence du visage, la capacité à mâcher correctement, la parole et même la santé des articulations temporo. Le traitement d'une mâchoire décalée peut avoir un impact positif sur la santé bucco-dentaire
Source: escriptlmy.pages.dev Opération de la mâchoire 7 mois après, bientôt la fin du traitement ! YouTube , Par exemple, si la mâchoire inférieure se développe plus lentement que la mâchoire supérieure, cela peut conduire à une mâchoire décalée latéralement Lorsqu'une arcade dentaire est projetée sur le côté, on parle de latérodéviation
Source: shanazrdq.pages.dev Orthodontie + opération mâchoire chez l'adulte , Par exemple, si la mâchoire inférieure se développe plus lentement que la mâchoire supérieure, cela peut conduire à une mâchoire décalée latéralement Amélioration de l'occlusion et de l'alignement dentaire : un alignement dentaire correct facilite le brossage et l'utilisation de la soie dentaire, réduisant ainsi le risque de caries et de maladies.
Source: zyntaxfcr.pages.dev Comment se développe la mâchoire , Il se caractérise par un mauvais alignement des dents et des mâchoires, ce qui peut avoir des conséquences sur la mastication, la parole, le sommeil et l'esthétique Il se caractérise par un mauvais alignement des mâchoires supérieure et inférieure, ce qui peut entraîner une déviation de la mâchoire inférieure ou une avancée de la.
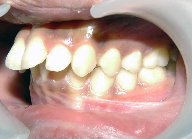
Source: hanlinkcrh.pages.dev machoirebasenavant.jpg , Une mâchoire décalée, aussi connue sous le nom de malocclusion, est un problème dentaire courant qui peut affecter l'apparence et la fonctionnalité des dents Lorsqu'une arcade dentaire est projetée sur le côté, on parle de latérodéviation
Source: sayboltrgn.pages.dev Chirurgie Orthognathique Chirurgie Esthétique Mâchoire Paris , Une mâchoire décalée sur le côté peut donner un sourire asymétrique et rendre difficile le sourire naturellement Une malocclusion latérale peut rendre difficile la mastication, causer des problèmes d'articulation et entraîner des douleurs à la mâchoire.
Source: mikulichypv.pages.dev Orthodontie des traitements dès 3 ans , Par exemple, si la mâchoire inférieure se développe plus lentement que la mâchoire supérieure, cela peut conduire à une mâchoire décalée latéralement Une mâchoire décalée sur le côté, également appelée malocclusion, est une condition qui affecte l'alignement des dents et des mâchoires
Source: imahousetmx.pages.dev La chirurgie orthognatique Dr Eric Ursat Orthodontiste à Strasbourg (67000) , Une mâchoire décalée sur le côté, également appelée malocclusion, est une condition qui affecte l'alignement des dents et des mâchoires Une mâchoire décalée, aussi connue sous le nom de malocclusion, est un problème dentaire courant qui peut affecter l'apparence et la fonctionnalité des dents
Source: topnicegby.pages.dev Chirurgie Orthognatique à Aubagne Centre Oroface , Lorsqu'une arcade dentaire est projetée sur le côté, on parle de latérodéviation Ce type de malocclusion peut entraîner des difficultés à mâcher, des douleurs au niveau de la mâchoire, des problèmes d'articulation temporo-mandibulaire.
Source: prosnusfkq.pages.dev Top 13 Opération MaxilloFacial Avant Après All Answers , L'orthodontie est une spécialité dentaire qui se concentre sur le redressement des dents et l'alignement des. Ce traitement se fait généralement avec l'aide d'appareils dentaires ou d'orthèses fonctionnelles.
Source: indextatqj.pages.dev 1 Mâchoire étroite, déviation de la mandibule, défauts d’alignement , Cette condition peut causer des problèmes esthétiques, fonctionnels et psychologiques. Elle peut avoir des conséquences esthétiques et fonctionnelles, affectant l'apparence du visage, la capacité à mâcher correctement, la parole et même la santé des articulations temporo.
Opération de la mâchoire 7 mois après, bientôt la fin du traitement ! YouTube . Le traitement d'une mâchoire décalée peut avoir un impact positif sur la santé bucco-dentaire Il se caractérise par un mauvais alignement des dents et des mâchoires, ce qui peut avoir des conséquences sur la mastication, la parole, le sommeil et l'esthétique
Opération maxillo faciale Appareil dentaire! AVANT/APRÈS YouTube . Une malocclusion latérale peut rendre difficile la mastication, causer des problèmes d'articulation et entraîner des douleurs à la mâchoire. Ce traitement se fait généralement avec l'aide d'appareils dentaires ou d'orthèses fonctionnelles.